不揃いの歯を治して、きれいな口元で過ごしたい!!
【症例12】 20代女性の症例
「上下の歯並び、特に右側のかみ合わせと下の前歯の不揃いを治したい」とのご相談で来院頂きました。
-
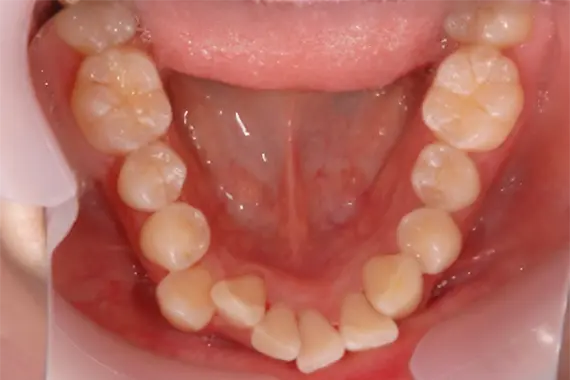
矯正前
-
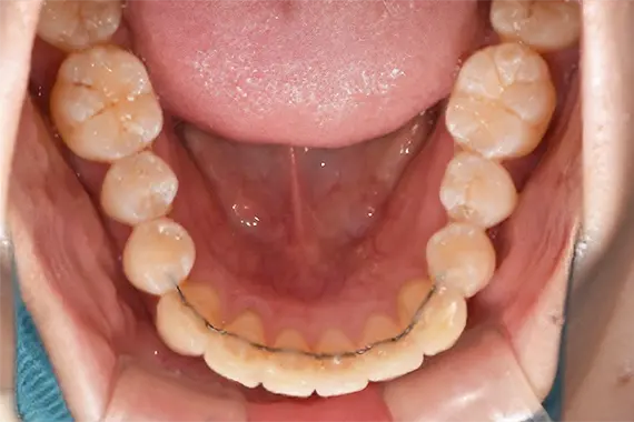
矯正後(保定期間)
治療の詳細
| 治療名 | 矯正治療 |
|---|---|
| 治療回数・期間 | 1年11ヵ月 |
| 治療費(税込) | 715,000円 +口腔内クリーニング代金 |
| 治療に際しての注意点や感想、 今後へのメッセージ |
上下とも、歯列の幅が狭くなっているのが歯並びを悪くしている要因となっているので、まずは幅の拡大を行い、その後に矯正装置(マルチブラケット装置)を装着し、改善を行いました。 歯の大きさも歯列に対して大きいので、歯の大きさも気付かれないレベルで縮小を行いました。 |
※個人の承諾を得ています。
※治療結果には個人差があります。
※画像処理により、色・形・大きさ等を変えるような処理は一切おこなっておりません。





