これからも、おいしく食べて、笑って、元気に過ごしていくために
50~60代になると、の表のように歯に問題をかかえる方が増え、急激に歯を失う可能性が高まってきます。
1本でも歯を失うと、食事がしづらい、会話がしづらいという直接的な問題だけではく、頭痛や肩こりといった慢性的な症状や、筋力・骨量・基礎体力の低下、また認知症へのリスクなど、全身の健康にも影響が広がっていく可能性があります。
歯を失うことで起こる体への影響
-
咀嚼機能の低下(噛む力が弱くなる)
- 食べられるものが限定される
- 握力や骨量、基礎体力が低下する
-
咀嚼時間の短縮(噛む時間が短くなる)
- 脳への血流量に影響が出て、認知症のリスクが高まる
-
かみ合わせが悪くなる
- 平衡感覚に影響が出て、転倒しやすくなる
歯が数本しか残っていない場合、20本以上歯が残っている場合と比較して、年間医療費(医科・歯科・調剤含む)が、150%以上に増えるというデータもあり、1本でも多く歯を残すために、歯みがきなど日頃からしっかりケアを行うことが大切です。
しかしながら、ケアだけでは、歯を守れない場合もあります。
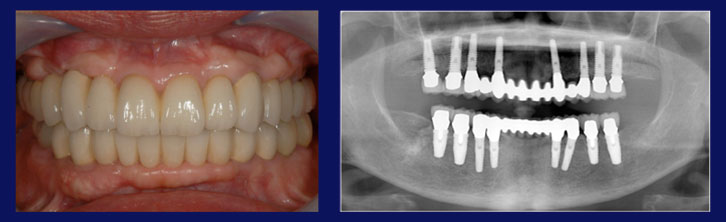
この方々は、毎日しっかり歯磨きをされていましたが、この写真ように多くの歯を失うことになりました。しっかりとケアしていたにも関わらず、なぜ歯を失うことになってしまったのでしょう?
その原因は、かみ合わせの悪さでした。
かみ合わせの悪さは、歯並びだけの問題ではなく、虫歯治療で入れたつめ物のバランスの悪さ、入れ歯の未使用といったものから、加齢による歯のすり減りなど、いくつかの原因によって引き起こされます。
かみ合わせが悪いと、一部の歯に大きな負担がかかります。噛むときに歯にかかる力は、成人男性の平均で約60kgと言われていますが、長年、その力を過剰に受け続けた歯は、その負担に耐えきれず、ある年齢に達したときにダメになってしまいます。
1本の歯がダメになると、周りの歯にもズレやゆがみなどの問題が広がり、かみ合わせの悪さがどんどん進行して、最終的にの画像のような状態まで悪化してしまいます。
このイラストの様に、1本が傾くことによって、次々と滑り落ちてしまう、そんなイメージです。
これからの人生をおいしく食べて、元気に楽しく過ごして頂くために、虫歯や歯周病を予防して歯を守ると共に、正しく噛めるよう「かみ合わせ」を整えていくことが大切です。





