前歯がかなり上から出てきている症例
【症例03】 初診時10歳の症例
右上の前歯(中切歯)が変なところから出てきているということで来院されました。
治療の概要
上唇と接触しやすいポジションにあったため、口内炎がありました。
そして、磨きにくいためプラークが大量に付着し、歯ぐきの状態も良くありません。
また、乳歯の前歯が脱落して期間が経っているため、隣の前歯が右寄りにきて並ぶスペースが不足しており、上下の真ん中がずれています。
見た目は(右上の前歯を除いて)普通に噛んでいるように見えますが、奥歯の関係からみると出っ歯です。
舌の前歯も比較的混み合っています。

まずは歯の萌出スペースの獲得のため、上あごと下あごの拡大を行いました。
それと同時に、前歯の裏側に引っ張るためのボタンを付けてけん引を開始しました。

写真はけん引を開始してから2ヶ月目です。だいぶ前歯が下りてきました。
そして装置装着してから5ヶ月目に、上あご前歯4本にブラケットを装着しました。

歯ぐきもきれいに付いてきて、状態も良好です。

上下のあごのバランスをとるのと、上下の真ん中を合わせる治療を進めています。
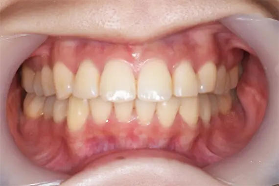
装置を外した時の写真です。
上下の真ん中が合っていて、きれいなかみ合わせになりました。
右の犬歯は出てきている途中です。しばらく経過観察を続けていきます。
ここまでの治療期間は1年半でした。

治療の詳細
| 治療名 | 子どもの矯正 |
|---|---|
| 治療回数・期間 | 1年半 |
※個人の承諾を得ています。
※治療結果には個人差があります。
※画像処理により、色・形・大きさ等を変えるような処理は一切おこなっておりません。




